
КТ заснована на отриманні серії рентгенівських знімків під різними кутами, які комп’ютер обробляє у томографічні зрізи. Це дає змогу детально візуалізувати внутрішні структури й навіть незначні аномалії. Для дослідження підшлункової залози застосовується контрастне підсилення, що покращує видимість пухлини порівняно з нормальною тканиною, а також дає змогу оцінити судинне залучення. Дослідження проводиться у кількох фазах — артеріальній, панкреатичній та портальній — для максимальної діагностичної інформації.
Основні ознаки раку підшлункової залози на КТ
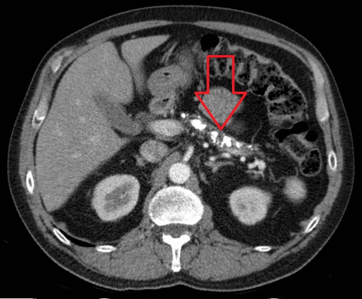
На КТ рак підшлункової залози (найчастіше аденокарцинома) зазвичай виглядає як зона нижчої щільності (гіподенсивна) проти оточуючої тканини. В окремих випадках пухлина може бути ізоатенюючою, і для діагностики важливим стає аналіз непрямих ознак: дилатація панкреатичного протоку ("обрізання"), атрофія тканини залози дистальніше від пухлини, збільшення жовчного протоку. Критерієм неоперабельності є навколосудинне залучення — оклюзія або захоплення судин більш ніж на 180°.
Роль мультидетекторної комп'ютерної томографії (МДКТ)
МДКТ-сканери з тонкими зрізами дозволяють більш точно знаходити навіть дрібні пухлини. Панкреатичний протокол з багатофазовим контрастуванням дає чітку візуалізацію судин і тканин, оцінку ступеня інвазії, а також пошук метастазів у лімфатичних вузлах і віддалених органах — печінці, легенях.
Хоча КТ відзначається високою чутливістю (76–92%) та специфічністю (85–95%), дрібні пухлини (<2 см) або ізоатенюючі новоутворення можуть бути пропущені. Інтерпретація результатів КТ потребує високої експертизи радіолога, а для уточнення інколи додатково застосовують МРТ, ендоскопічне УЗД, ПЕТ-КТ, лабораторні маркери.
КТ у плануванні лікування та оцінці операбельності
Одне з ключових призначень КТ — визначення операбельності пухлини. Оцінюється ступінь інвазії в основні судини: черевну аорту, ворітну вену, верхню брижову вену. Операбельними вважають пухлини, які не охоплюють судини більш ніж на 180° (без оклюзії), без віддалених метастазів і значних лімфовузлових змін. КТ відіграє вирішальну роль у прийнятті рішення про хірургічне лікування і відборі кандидатів.
Технічні аспекти проведення КТ
Для максимальної інформативності застосовують трьохфазове сканування:
Артеріальна фаза (20–30 сек. після введення контрасту) — оцінка судин;
Панкреатична фаза (40–50 сек.) — видимість пухлини й тканин;
Портальна фаза (60–70 сек.) — печінка, лімфатичні вузли.
Товщина зрізів 0.5–1 мм забезпечує деталізацію. Сучасні КТ-протоколи враховують можливість 3D-моделювання судинного русла для планування операцій.
Поразка лімфатичних вузлів проявляється їх збільшенням (>1 см), зміненою формою чи ішемічними ознаками. Метастази у печінку на КТ виглядають як вузли зниженої щільності. Тромбоз ворітної вени прямо впливає на вибір лікування.
Неконтрастна КТ не завжди відрізняє рак від панкреатиту, кист, доброякісних пухлин. Суміжні методи (ендоскопічне УЗД, лабораторні маркери) підвищують діагностичну точність.
Розвиваються нові методи: низькодозова КТ, подвійна енергія, алгоритми зменшеної дози, штучний інтелект для інтерпретації знімків. Машинне навчання вже успішно використовується для виявлення малих утворень і автоматичної оцінки, 3D-моделювання судинного русла покращує підготовку до оперативного втручання.
Клінічний робочий процес і значення КТ для пацієнта
Після направлення на КТ лікар-рентгенолог аналізує результати у контексті симптомів, лабораторних показників та попередніх обстежень. Виявлення ранніх ознак пухлини дозволяє швидше підтвердити діагноз, планувати індивідуальне лікування й уникати непотрібних операцій.
КТ також застосовується для моніторингу відповіді на терапію і спостереження за прогресом захворювання.
Ведення пацієнтів з раком підшлункової залози — це командна робота лікарів: онкологів, хірургів, радіологів, гастроентерологів, патологів. КТ дає основу для прийняття ключових рішень на кожному етапі лікування.
Важливість профілактики та раннього скринінгу
Масовий скринінг КТ не практикується через вартість і променеве навантаження, але для пацієнтів із груп ризику (генетичні синдроми, хронічний панкреатит, куріння) регулярне обстеження підвищує шанс на своєчасне виявлення.
«КТ залишається найголовнішим методом для оцінки пацієнтів з підозрою на рак підшлункової залози. Інноваційні технології та фаховість рентгенологів дозволяють підвищити діагностичну точність і якість стадіювання, що безпосередньо позначається на прогнозах пацієнтів», — провідний онкодіагност клініки Спіженка.
Комп’ютерна томографія — незамінний інструмент діагностики та стадіювання раку підшлункової залози, забезпечує високу точність і багатокомпонентну оцінку для вибору оптимальної лікувальної тактики. Відповідність міжнародним протоколам, можливість інтеграції інноваційних методик дозволяють підвищити прогнози пацієнтів через раніше і точніше виявлення пухлин та адекватну оцінку операбельності. Своєчасне звернення — шанс на радикальне лікування і якісне життя.
Якщо у вас чи у ваших близьких виникають симптоми, схожі на захворювання підшлункової залози, не відкладайте обстеження. КТ — це сучасний інструмент діагностики, який здатний врятувати життя, вчасно поставивши точний діагноз. Довіряйте професіоналам, дбайте про своє здоров’я та не займайтеся самодіагностикою!